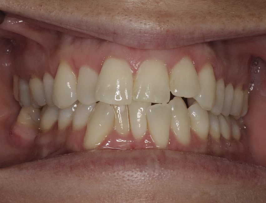
Nikki’s dental journey with Contemporary Dentistry, led by Dr. Arlene Messer, is a testament to the practice’s commitment to holistic and patient-centered dental care. Nikki approached Contemporary Dentistry to improve her dental health and aesthetics, embodying the type of dedicated patient Dr. Messer and her team are passionate about assisting. Nikki would drive over 2 hours to appointments with us, showing amazing dedication.
Nikki’s treatment was deeply rooted in Contemporary Dentistry’s holistic philosophy. Dr. Messer and her team focused on safe amalgam removal and ensuring Nikki’s teeth’ overall health and appearance, aligning with the practice’s emphasis on using biocompatible materials and minimally invasive techniques.


Nikki underwent a comprehensive treatment plan:
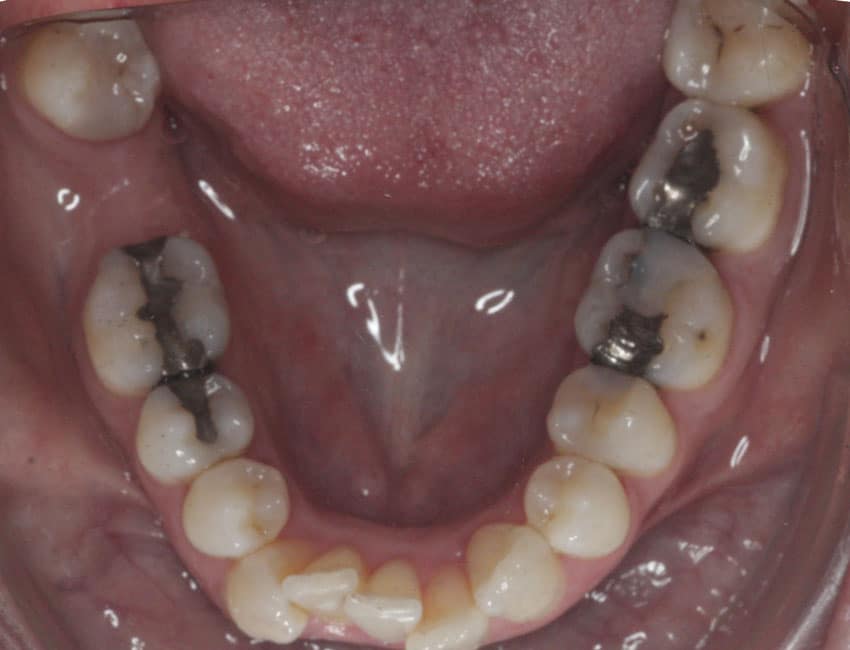
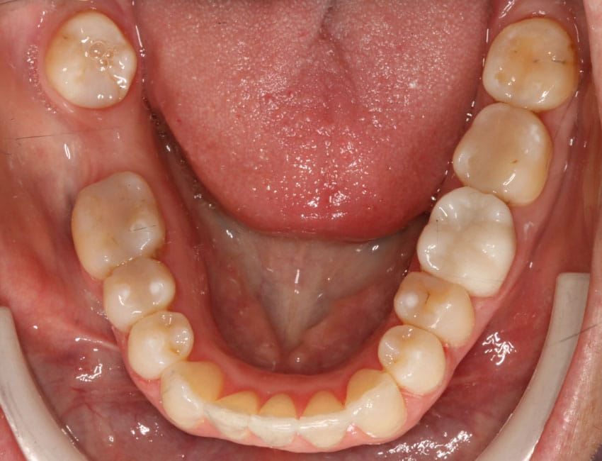
- Safe Amalgam Removal: Utilizing the S.M.A.R.T. Mercury Amalgam Removal Protocol, Nikki’s old mercury restorations were safely removed using a dental air vacuum, with additional precautions like activated charcoal and supplemental oxygen.
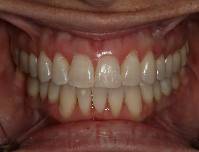
- Invisalign Clear Braces: To straighten and improve the appearance of her teeth, Invisalign clear retainers were used, highlighting the practice’s preference for aesthetic and minimally invasive solutions.
- Dental Implant and Wisdom Teeth Removal: A zirconia non-metal dental implant was placed, and wisdom teeth were removed, utilizing ozone gas for disinfection and digital scanning with ITERO 3D imaging for precision.
The treatment showcased the innovative technologies at Contemporary Dentistry:
- Ozone Therapy: Used for disinfection before restoration, demonstrating the practice’s advanced approach to dental care.
- Digital Scanning with ITERO 3D Imaging: Ensured precise treatment planning and execution.
- Zirconia Non-Metal Dental Crowns and Implants: Emphasizing the use of non-toxic, biocompatible materials in line with the holistic approach.




Nikki’s commitment resulted in an aesthetically pleasing, functional, and healthier smile. She also stayed in contact, and we worked virtually to troubleshoot and check progress, further exemplifying the personalized care and attention to detail provided by Contemporary Dentistry.
Dr. Messer shares, “Nikki was an absolute pleasure to work with! Her dental transformation was remarkable, and it was fulfilling to see her achieve her goals using our holistic treatment approach.”
Nikki’s glowing review speaks volumes about her satisfaction with the treatment and the compassionate care she received at Contemporary Dentistry.
Nikki’s story exemplifies Contemporary Dentistry’s dedication to providing personalized, holistic dental care. Her journey illustrates the practice’s commitment to biocompatible materials, advanced technology, and a patient-centered approach, ensuring each patient’s dental health is in harmony with their overall well-being.